What is Jaw Bone Cancer ?

Cancer involving lower jaw bone(mandible) is a common scenario in oral cancer. Cancer can arise from cheek (buccal mucosa) and involve jaw bone or cancer can arise denovo on jaw bone.

Symptoms of Jaw Bone Cancer :

1. ulcer or growth involving jaw bone

2. Swelling of jaw bone

3. Loosening of tooth

4. Change in voice or hoarseness

5. Lumps in neck

DIAGNOSIS

1. Biopsy

2. CT scan/PETCT scan for staging .

TREATMENT OPTIONS

Surgery is main treatment option called Composite resection followed by post operative radiotheraphy.

1)MARGINAL MANDIBULECTOMY

Here only a margin of mandible is resected maintaining the continuity of jawbone so that shape and function (chewing , speech) are preserved. The resected area is generally covered with flap.

This type of surgery is done in cases with cancer touching jaw bone or early involvement of jaw bone.

marginal mandibulectomy

Jaw Bone Cancer

marginal mandibulectomy

Jaw Bone Cancer Treatment

2)SEGMENTAL MANDIBULECTOMY

Here bone is involved by tumor, so full thickness segment of jawbone is removed to clear tumor.

This causes significant morbidity to functions like chewing , speech, swallowing and change in external appearance.

To reduce this morbidity during cancer surgery reconstruction can be done using bone or soft tissue flaps after resection of cancer.

Bone can be replaced with bone using leg bone call Fibula free flap.

This restores continuity of bone , so all functions are preserved and enhances external appearance.

Jaw Bone Cancer Treatment in Hyderabad

Cancer of lower jaw bone

Jaw Bone Cancer Treatment in India

Resected jaw bone with cancer.This defect will be reconstructed with fibula free flap.

Jaw Bone Cancer

Fibula bone in leg will be shaped according to removed jawbone and fixed to jawbone

Jaw Bone Cancer Treatment

Fibula bone in leg will be shaped according to removed jawbone and fixed to jaw bone. Skin of leg harvested along with bone will cover the defect in the mouth. Blood vessels of bone are connected to neck vessels for new blood supply.

Jaw Bone Cancer Treatment in Hyderabad

After bone flap usage for reconstruction shape of face is restored ,occlusion of teeth is maintained so chewing hard food is possible and speech and swallowing are not affected.

CASE 11

Cancer of jaw bone , underwent composite resection and reconstruction with fibula free flap

Jaw Bone Cancer Treatment in India

Pre Planting &IMF

Jaw Bone Cancer

Resection

Jaw Bone Cancer Treatment

Harvesting fibula free flap

Jaw Bone Cancer Treatment in Hyderabad

Harvesting fibula free flap

Jaw Bone Cancer Treatment in India

Harvesting fibula free flap

Jaw Bone Cancer

Osteotomy

Jaw Bone Cancer Treatment

Osteotomy,Contouring&Anastomosis

Jaw Bone Cancer Treatment in Hyderabad

Post operative picture .Restored function and cosmesis

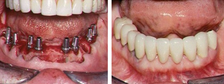
Dental implants and Rehablition

After completion of treatment patients can have fixed teeth on implants.

Jaw Bone Cancer Treatment in India
Jaw Bone Cancer

Another example of jaw bone reconstruction

-Oral cancer involving mandible (jaw bone)is a common scenario. This requires multimodality treatment and team approach for both resection and reconstruction to cure the patient from disease and also to restore form and function so patients quality of life is not affected.

-Contact us, DR Rahul buggaveeti and his team Dr Umanath Nayak , Dr Abhishek Bhudarapu , the best head and neck surgeon team in south India for superior oncological results.

Testimonials

BOOK AN APPOINTMENT

Book an Appointment